11.11.2021

Lockdown bedingte schwerere Herzinfarkte
Bereits früh in der Corona-Pandemie gab es die Annahme, dass die mit den Einschränkungen einhergehenden „Kollateralschäden“ besonders Menschen mit Herz-Kreislauf-Erkrankungen betreffen. Mit aktuellen Daten einer Innsbrucker MRT-Studie lässt sich diese Hypothese nun bestätigen: Herzinfarkt-Patient:innen erlitten während der COVID-19-Pandemie größere Herzmuskelschädigungen als in der Zeit davor. Das angesehene Fachmagazin European Heart Journal berichtet.
Bei Patient:innen mit ST- Hebungs-Myokardinfarkt (STEMI)* deuten aktuelle Daten nicht nur auf einen deutlichen Rückgang der Einweisungsraten und der Aktivierung der Herzkatheter Labore hin, sondern auch auf eine verzögerte Reperfusion (Wiederdurchblutung), veränderte Reperfusionsstrategien sowie erhöhte psychologische Belastungen bei hospitalisierten Personen, was schlussendlich zu einer höheren Sterblichkeit während der Pandemie und darüber hinaus führen könnte. Eine neue Studie des Teams um Bernhard Metzler und Sebastian Reinstadler von der Univ.-Klinik für Innere Medizin III, Kardiologie und Angiologie (Direktor: Axel Bauer) hat die Auswirkungen der Pandemie und der damit verbundenen Einschränkungen des öffentlichen Lebens auf die Schwere des Infarkts hin untersucht.

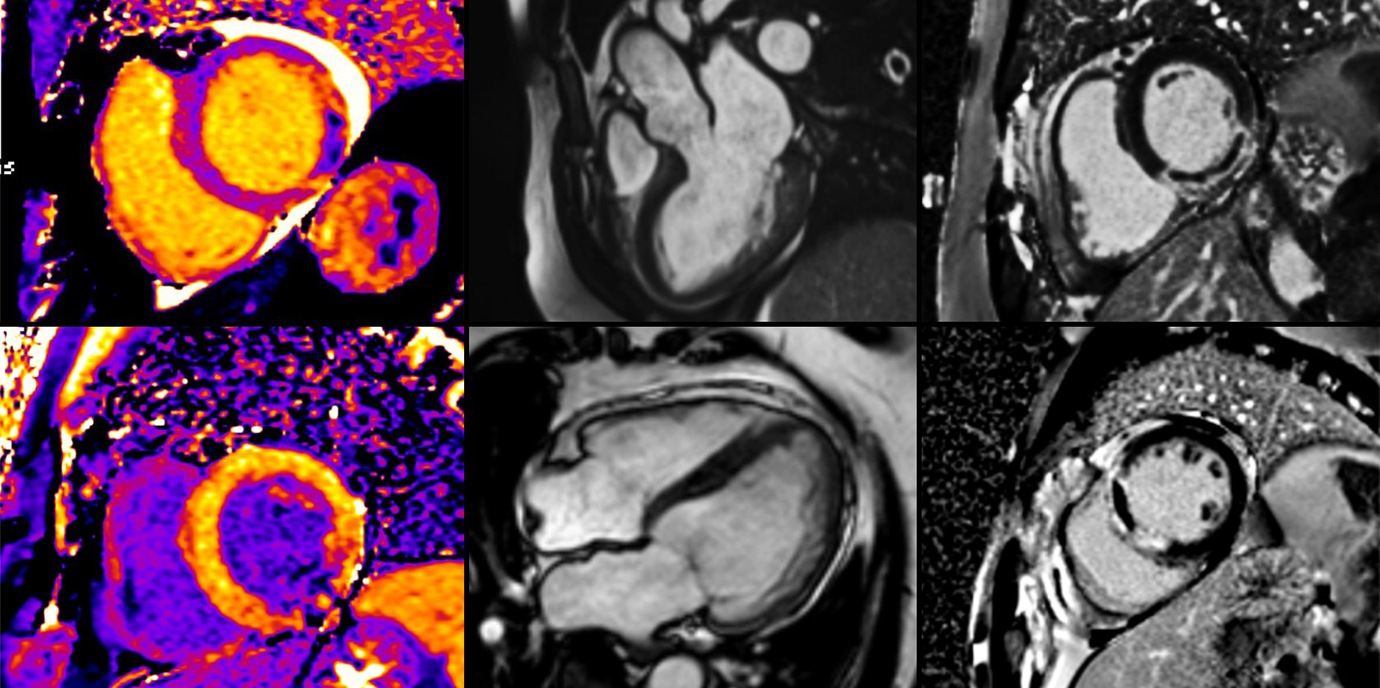
Kardiale MRT liefert umfassendes Bild
„Wir konnten zeigen, dass es besonders während der COVID-19 bedingten Restriktionen zu einer Zunahme der Infarktgröße gekommen ist“, beschreibt Kardiologe Sebastian Reinstadler die zentrale Erkenntnis der Innsbrucker Studie, für die insgesamt 474 Patient:innen einer kardialen MRT wenige Tage nach dem Akutereignis unterzogen wurden. Die kardiale Magnetresonanztomographie (MRT) ist der nicht-invasive Goldstandard für eine umfassende Charakterisierung des Myokardgewebes nach einem STEMI, mit der sich insbesondere die Schwere der Gewebsschädigung, ausgedrückt als Infarktgröße, mikrovaskuläre Obstruktion (MVO) und intramyokardiale Blutung (IMH), sehr genau bestimmen lässt. Sowohl die Größe als auch der Schweregrad des Infarktes, der in der ersten Woche nach einem STEMI mittels kardialer MRT dargestellt werden kann, stehen in sehr engem Zusammenhang mit der funktionellen Erholung des Herzmuskels, einer zukünftigen chronischen Herzinsuffizienz und letztlich auch der kardiovaskulären Mortalität.
Die Patient:innen wurden nach Zeiträumen mit und ohne COVID-19 Restriktionen im Jahr 2020 und nach Zeiträumen mit COVID- 19 Restriktionen im Jahr 2020, im Vergleich zu den entsprechenden Zeiträumen zwischen 2015-2019, eingeteilt und analysiert. „Deckungsgleich zu Vorstudien bei Patient:innen mit akutem Herzinfarkt, die während der COVID-19 Restriktionen in das Krankenhaus eingeliefert wurden, wiesen diese Patient:innen eine signifikant längere Gesamt-Ischämiezeit, bei gleichbleibender Ankunfts-bis-Ballon-Zeit**, auf. Dies zeigte sich auch im Vergleich von Patient:innen, die im Jahr 2020 aufgenommen wurden, zu jenen die zwischen 2015 und 2019 im Krankenhaus behandelt worden waren. Während der COVID-19 Restriktionen im Jahr 2020 kam es zu einer signifikanten Zunahme der Infarktgröße, einer höheren Häufigkeit und einem größeren Ausmaß der MVO sowie einer höheren Rate an IMH im Vergleich zu den Phasen ohne größere Restriktionen im Jahr 2020“, schildert Erstautor Ivan Lechner die Ergebnisse im Detail. Während weitere Untersuchungen erforderlich sind, um die vollständigen Auswirkungen von COVID-19 auf Patienten mit STEMI besser zu verstehen, deuten diese Daten klar auf schlechtere kurz- und langfristige Ergebnisse bei diesen Patienten hin.
Nachdem Behandlungsqualität, Ankunfts-bis-Ballon-Zeiten und die Begleitmedikation in allen Zeiträumen vergleichbar waren, dürften die Ursachen für diese Entwicklung vorwiegend in Pandemie bedingten Effekten zu finden sein. „Wir vermuten, dass manche Patientinnen und Patienten eine Aufnahme im Krankenhaus Pandemie bedingt unter allen Umständen vermeiden wollten und erst verspätet oder gar nicht die Rettungskette in Gang setzten. Die in anderen Studien beobachtete abrupte Abnahme der im Krankenhaus aufgenommenen Infarkt-Patient:innen während der Restriktionen passt ebenso in dieses Bild“, resümieren die Studienautoren.
*) Die ST-Strecke ist ein Kurvenabschnitt des Elektrokardiogramms, deren Veränderungen einen hohen diagnostischen Aussagewert im Hinblick auf die Durchblutung des Herzmuskels, vor allem nach einem Infarkt, haben.
**) Die Ballonaufdehnung, medizinisch Ballondilatation oder PTCA (perkutane transluminale K(c)oronar-Angioplastie) genannt, ist ein Behandlungsverfahren, mit dem die verengten Herzkranzgefäße wieder durchlässig gemacht werden sollen.
(11.11.2021, Text: Lechner/Reinstadler/Heidegger, Foto: Univ.-Klinik für Innere Medizin III)
Links:
Impact of COVID-19 pandemic restrictions on ST-elevation myocardial infarction: a cardiac magnetic resonance imaging study. Ivan Lechner, Martin Reindl, Christina Tiller, Magdalena Holzknecht, Felix Troger, Priscilla Fink, Agnes Mayr, Gert Klug, Axel Bauer, Bernhard Metzler, Sebastian Reinstadler. European Heart Journal, 11 October 2021
https://doi.org/10.1093/eurheartj/ehab621
Univ.-Klinik für Innere Medizin III, Kardiologie und Angiologie