20.01.2020

Erstmals nachgewiesen: Zusammenhang zwischen programmiertem Zelltod und Lungenentwicklung
Der programmierte Zelltod (Apoptose) stellt einen wichtigen Mechanismus in der Embryonalentwicklung, der Zellhomöostase und bei der Tumorentstehung dar und steht im Fokus des Forschungsinteresses von Verena Labi am Institut für Entwicklungsimmunologie (Direktor: Andreas Villunger). Die Biologin konnte nun einen neuen Mechanismus entschlüsseln, der die Regulation des Zelltod fördernden Proteins BIM über winzige RNA-Abschnitte, sogenannte Mikro-RNAs, beeinflusst.
Die Eliminierung schädlicher, defekter oder entarteter Zellen wird durch verschiedene Signalwege gesteuert, die den Zelltod herbeiführen oder verhindern können. Das BIM Protein ist eines der Moleküle in unseren Zellen, das den programmierten Zelltod auslösen kann. BIM, das in Säugetieren in fast allen Zellen des Körpers vorkommt, ist bereits seit mehreren Jahren im Visier von Verena Labi. „In Experimenten im Mausmodell habe ich gemeinsam mit Kolleginnen und Kollegen des Teams um Klaus Rajewsky vom Max-Delbrück-Centrum für Molekulare Medizin in Berlin erforscht, wie winzige, regulatorische RNA-Abschnitte, sogenannte Mikro-RNAs, die Konzentration des BIM Proteins in der Zelle regulieren“, erzählt Erstautorin Verena Labi, deren nun im Fachjournal Genes & Development publizierte Untersuchung während eines Forschungsaufenthalts im Labor des renommierten Immunologen Klaus Rajewsky ihren Anfang nahm.
Neuartiges Mausmodell
Mikro-RNAs sind kurze Ribonucleinsäure (RNA)-Moleküle, die durch Bindung an eine Vielzahl verschiedener Boten-RNA Moleküle (mRNAs) die Proteinzusammensetzung einer Zelle beeinflussen können. Bioinformatische Analysen haben gezeigt, dass vier verschiedene Mikro-RNAs, die mit dem sperrigen Namen miRNA-17~92 zusammengefasst werden, ungewöhnlich viele Bindungsstellen in der BIM mRNA besitzen. Dieses Ergebnis hat die Forscher:innen dazu motiviert, die Wechselwirkungen zwischen den miRNA-17~92 MikroRNAs und der BIM mRNA genauer zu untersuchen. So wurde ein einzigartiges Mausmodell entwickelt, in dem die Bindungen ganz gezielt blockiert werden können. Dabei wurde das BIM Gen (Bcl2l11) durch Mutationen so verändert, dass die miRNA-17~92 Mikro-RNAs nicht mehr an die BIM-Boten-RNA binden konnten. Damit war es möglich zu erforschen, in welchen Zellen der BIM-abhängige zelluläre Selbstmord durch die miRNA-17~92 Mikro-RNAs gehemmt wird.

Nachweisbare Effekte auf Lungen- und B-Lymphozytenentwicklung
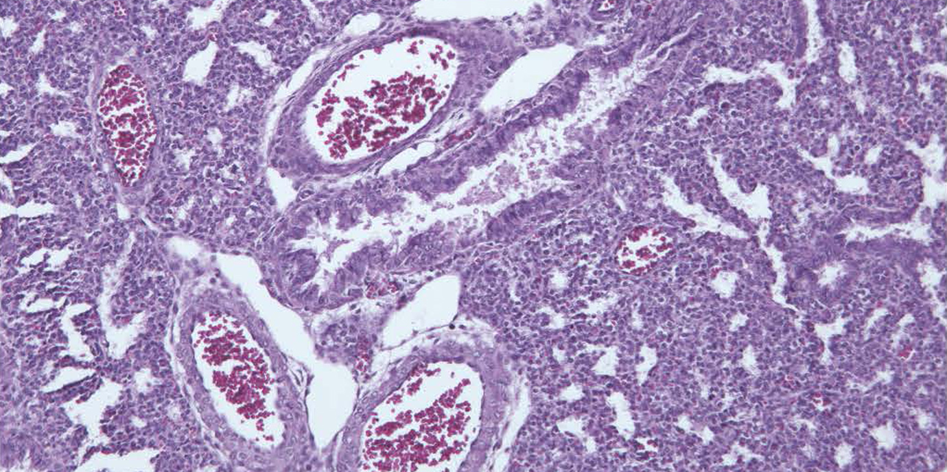
Eine Überraschung erlebten die Forscher:innen bereits bei den ersten Analysen: Die Untersuchungen ergaben, dass die Blockade der Bindungen fatale Auswirkungen auf die embryonale Lungenentwicklung hat. „Können die miRNA-17~92 Mikro-RNAs nicht mehr an die BIM mRNA binden, wird zu viel BIM Protein in den Lungenzellen hergestellt. Dies führt zu vermehrtem programmierten Zelltod während der letzten Stadien der Lungenreifung im Embryo; die für das Überleben essentielle Lungenentfaltung und damit die Versorgung der Organe mit Sauerstoff gleich nach der Geburt bleiben aus. Somit haben wir entdeckt, dass die miRNA-17~92 Mikro-RNAs Zellen in der embryonalen Lunge vor einem ungeplanten Zelltod schützen und damit die Lebensfähigkeit des Organismus bei der Geburt sichern“, erklärt Labi den bislang unbeschriebenen Zusammenhang zwischen Apoptose und Lungenentwicklung. Welcher Mechanismus die Konzentration des BIM Proteins in den Lungenzellen so gefährlich hoch ansteigen lässt, bleibe eine noch ungeklärte und sehr spannende Frage, so die Forscherin.
Eine weitere Überraschung erlebten die Forscher:innen, als sie die sogenannten B Lymphozyten, einen Zelltyp des Immunsystems, genauer unter die Lupe nahmen. „Obwohl wir zeigen konnten dass die miRNA-17~92 Mikro-RNAs in normalen B Lymphozyten tatsächlich an die BIM mRNA binden, schien sich das nicht auf die Menge des BIM Proteins in diesem Zelltyp auszuwirken. Ein Grund, warum die miRNA-17~92 Mikro-RNAs nur in bestimmten Zelltypen die BIM Proteinmenge spürbar dämpfen, obwohl beide Moleküle in fast allen Zellen des Körpers vorhanden sind, könnte in der relativen Menge der BIM mRNA und der miRNA-17~92 Moleküle zueinander liegen“, vermutet Labi. Reduzierten die Forscher:innen ausschließlich die Zahl der BIM mRNA Moleküle, so führte dies dazu, dass die BIM Proteinmenge in den B Lymphozyten plötzlich von den miRNA-17~92 Mikro-RNAs kontrolliert werden konnte. „Wir haben allerdings auch festgestellt, dass B Lymphozyten mit ‚normaler‘ BIM Konzentration unter bestimmten Stresssituationen doch die Kontrolle von BIM durch die miRNA-17~92 Mikro-RNAs zum Überleben benötigen“, so Labi, die derzeit in Folgeprojekten auch das Zusammenspiel von miRNA-17~92 und BIM in der Entstehung von Lymphomen und Lungenkarzinomen erforscht. Dafür ist Verena Labi übrigens gerade auf der Suche nach PhD- und Masterstudierenden.
(20.01.2020, Text: D. Heidegger, Bilder: Verena Labi, Felix Petermann)
Links:
Context-specific regulation of cell survival by a miRNA-controlled BIM rheostat. Verena Labi, Siying Peng, Filippos Klironomos, Mathias Munschauer, Nicolai Kastelic, Tirtha Chakraborty, Katia Schoeler, Emmanuel Derudder, Manuela Martella, Guido Mastrobuoni, Luis R. Hernandez-Miranda, Ines Lahmann, Christine Kocks, Carmen Birchmeier, Stefan Kempa, Leticia Quintanilla-Martinez de Fend, Markus Landthaler, Nikolaus Rajewsky and Klaus Rajewsky. Published in Advance November 7, 2019
Institut für Entwicklungsimmunologie
NEWS-Archiv: ÖAW-Stipendium für die Molekularbiologin Katia Schöler
NEWS-Archiv: Bim und Bmf: Im Kollektiv gegen Autoimmunität und Tumoren
Twitter
@LabiLab5