close_icon

03.06.2016

Junge Forscher:innen an der MUI: Bernhard Glodny

Im Rahmen der Reportageserie „Junge Forscher:innen an der MUI“ werden Nachwuchswissenschafter:innen der Medizinischen Universität Innsbruck vor den Vorhang geholt. Ihre Gemeinsamkeit: Sie betreiben seit Jahren erfolgreich medizinische (Grundlagen-) Forschung – das belegen zahlreiche wissenschaftliche Publikationen und die Einwerbung von Drittmitteln – und sind mit ihrem Wissen in der Lehre tätig*.

Diesmal portraitieren wir Assoz. Prof. Priv.-Doz. Dr. Bernhard Glodny. Der Spezialist für interventionelle Radiologie und Facharzt für Radiologie an der Universitätsklinik für Radiologie arbeitet derzeit in der Abteilung für mikroinvasive Therapie, um das Verfahren der Radiofrequenzablation „von den Besten“ zu erlernen. Darüber hinaus erforscht er anhand analytischer Verfahren blutdrucksenkende Substanzen der Niere.

Zu Tirol und insbesondere zu Innsbruck hat Bernhard Glodny ein besonderes Verhältnis. Sein Vater, der ursprünglich aus Schlesien stammte, führte 1952 hier sein Medizinstudium fort. Anschließend zog es ihn nach Münster in Westfalen, wo Bernhard Glodny aufwuchs und später selbst Medizin studierte. „In meiner Kindheit verbrachten wir oft die Sommerurlaube in Tirol“, erinnert er sich. 1998 promovierte er an der Medizinischen Fakultät der Universität Bonn. Sein Dissertations-Thema befasste sich mit arterieller Hypertonie (Bluthochdruck) als einem wesentlichen Faktor für Herz-Kreislauf-Erkrankungen. “Auch heute noch bestimmt die arterielle Hypertonie mein Forschungsinteresse enorm. Allerdings hat sich der Blickwinkel ein wenig verändert. Schließlich beschäftige ich mich nun weniger mit den Risikofaktoren, als vielmehr mit den Folgen und den Möglichkeiten der Nachbehandlung“ erklärt er.

Nach seinem Studium begann er mit einem Kollegen, Prof. Guido F. Pauli, der nun an der University of Illinois in Chicago tätig ist, zwei bislang kaum bekannte Substanzen aus dem Nierenmark zu erforschen:  „Von diesen beiden Substanzen, Medullipin und Angiolysin, wissen wir, dass sie Einfluss auf den Blutdruck haben und die Gefäße erweitern können. Allerdings sind die Verfahren, mit denen wir diese Substanzen gewinnen können, sehr aufwändig: Das Nierenmark, das ohnehin nur mühsam vom Rest der Niere zu trennen und in vergleichsweise geringen Mengen vorhanden ist, muss zunächst in Stickstoff eingefroren, anschließend pulverisiert und dann getrocknet werden – auf ähnliche Art und Weise wird auch aus Kaffeebohnen der Extrakt zur Produktion von Löskaffee gewonnen. Mein nächstes Ziel ist es, genug Nierenmark zu bekommen, um Medullipin und Angiolysin als Substanzen isolieren und chemisch genau beschreiben zu können“ erklärt der Forscher. Denn eines der größten Probleme in der Erforschung dieser Hormone liegt darin, dass sie bisher nicht kristallisierten und sich daher der analytischen Herangehensweise, die z. B. zur Entdeckung des Progesterons geführt hat, zum Teil entziehen. Dabei, so hofft Glodny, wird ihm auch die NMR-Spektroskopie, die die Untersuchung einzelner Atome und ihrer Wechselwirkungen mit Nachbaratomen ermöglicht, helfen.

Nach Innsbruck kam Glodny aufgrund eines persönlichen Treffens mit o. Univ.-Prof. Dr. Werner Jaschke, dem Leiter der Innsbrucker Universitätsklinik für Radiologie. „Aus einem zunächst nur kurz angesetztem Termin bei ihm wurde ein mehrstündiges Gespräch, in dem ich erfahren habe, was hier in Innsbruck alles möglich ist und wie ich hier arbeiten kann“, erzählt Glodny rückblickend. Insbesondere die interventionelle Radiologie, durch die vielfältige therapeutische Eingriffe etwa in der Behandlung der arteriellen Verschlusskrankheit, oder von Blutungen oder Aneurysmen, von Tumoren- oder Metastasen möglich geworden sind, fasziniert den Radiologen und Forscher. „Mit durch Hochfrequenzstrom erzeugter Hitze, z. B. dem Verfahren der sogenannten Radiofrequenzablation, können Tumore oder Metastasen in Organen wie Leber, Niere oder Lunge behandelt werden. Die Vorteile dabei sind, dass ein oder mehrere Tumore extrem zielgenau und gründlich zerstört werden können, die ganze Prozedur aber für die Patient:innen sehr schonend ist. Die Absprache mit den behandelnden Kolleg:innen zur Erstellung eines individuellen interdisziplinären Behandlungskonzeptes für jede einzelne Patientin und jeden einzelnen Patienten garantiert die beste Versorgung.“ Am Standort Innsbruck schätzt Glodny vor allem das hohe fachliche Know How und gerät dabei nahezu ins Schwärmen: „Hier wird interventionelle Radiologie in absoluter Perfektion betrieben! Vor allem von Professor Reto Bale, der ein absoluter Experte auch in der Behandlung großer Tumore ist, kann ich sehr, sehr viel lernen. Darüber hinaus ist auch die Zusammenarbeit mit den Kolleg:innen aus der Universitätsklinik für Neuroradiologie unheimlich wertvoll und effektiv.“

R20-Export_1_vs2 R20-Export_3_vs R20-Export_5_vs_2 R20-Export_7_vs
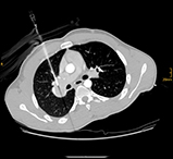
 „Interventionelle Radiologie auf höchstem Niveau“: v.l.n.r: Biopsie einer Metastase eines Tumors der Speiseröhre durch die Wirbelsäule; Implantation einer vierfach verzweigten  Gefäßprothese in der Hauptschlagader zur Ausschaltung eines Aneurysmas; Biopsie eines Tumors in der Verzweigung des Hauptgallenganges mit zwei Biopsienadeln und die Biopsie eines Tumors in der rechten Lunge. (Bilder können durch anklicken vergrößert werden.)


Die Zusammenarbeit mit den Kolleg:innen schätzt Glodny vor allem, wenn es um die Ausbildung junger Ärztinnen und Ärzte geht. Der von ihm gemeinsam mit Prof. Johannes Petersen entwickelte Radiologiekurs für Medizinstudent:innen, in dem auch selbst gemachte Modelle und Stofftiere zum Einsatz kommen, erfreut sich stetiger Beliebtheit und wurde auch universitätsintern ausgezeichnet. „Die Lehre habe ich in den Mittelpunkt meiner Arbeit gestellt. Ich setze mich mit all meinen Möglichkeiten für die Belange der Studierenden ein. Die resultierenden Erfolge und die Begeisterung sind mein schönster Lohn.“ Im Unterricht mit den Studierenden ist ihm insbesondere die Röntgenbildanalyse-Vorlesung wichtig: „Aufgrund der Verfügbarkeit der Schnittbilder z. B. aus der Computertomographie, die durch fortgeschrittene Nachverarbeitungsmethoden das Körperinnere auch dreidimensional darstellen können und die die Diagnostik so stark verbessert haben, werden Röntgenbilder heute manchmal zu wenig beachtet. Dennoch halte ich die Analyse und Auseinandersetzung mit Röntgenbildern nach wie vor für eine ganz wichtige und unverzichtbare Fähigkeit von Ärztinnen und Ärzten.“

Wenn sich Bernhard Glodny mal nicht mit arterieller Hypertonie, Nierenmark, radiologischen Verfahren, Studierenden oder medizinischen Lehrinhalten befasst, genießt er die Tiroler Bergwelt, die er gerne zu Fuß oder am Mountainbike erklimmt. Darüber hinaus sind es auch vier Patenkinder im Alter von eineinhalb bis fünf Jahren, denen er gerne Zeit und Aufmerksamkeit schenkt. Für ein weiteres Hobby, die Musik, findet er derzeit kaum mehr Zeit: Als begeisterter Trompeter engagierte er sich in Münster noch am Collegium Musicum Instrumentale – ein Eintritt in eines der Innsbrucker Orchester ist für die Zukunft nicht gänzlich ausgeschlossen.

(A. Schönherr)
Weitere Informationen:

Univ.-Klinik für Radiologie
Univ.-Klinik für Neuroradiologie
Abteilung für mikroinvasive Therapie der Universitätsklinik für Radiologie
Weitere Reportagen über Nachwuchswissenschafter:innen an der Medizinischen Universität Innsbruck
 

*Die im Rahmen dieser Reportageserie portraitierten Wissenschafter:innen besetzen eine A2-Laufbahnstelle als Assoziierte Professor:innen an der Medizinischen Universität Innsbruck. Voraussetzung dafür ist die Erfüllung einer Qualifizierungsvereinbarung, die unter anderem erfolgreiche Forschungsleistung, Lehre und Einwerbung von Drittmitteln umfasst.

Aktuell