AG Bildgebung / Sonographie
Die wissenschaftliche und praktisch-angewandte Beschäftigung mit Bildgebung hat an unserem Hause eine jahrzehntelange Tradition wie zum Beispiel das weltweit erste CT und das erste Ultraschall-Gerät an einem Anatomischen Institut. Dadurch entstanden umfangreiche Internationale Kooperationen, auch auf dem Gebiet der MRT (z.B. Neuroradiologen in München und London)
Der Schwerpunkt der Forschung hat sich in weiterer Folge zur Sonographie und hier im Speziellen zur Nervendarstellung verlagert. Das Institut verfügt hierzu aktuell – auch dank der Unterstützung durch die MUI – über modernste Ultraschall-Systeme.
In Zusammenarbeit mit diversen Universitätskliniken in Österreich, Kanada, der Schweiz, Dänemark und den USA wurden und werden an Körperspender:innen (und Proband:innen) die Grundlagen für neue Blockadetechniken im Bereich Regionalanästhesie und Schmerztherapie erarbeitet. Das vorrangige Ziel ist dabei immer die praktische, translationale Anwendbarkeit in der Klinik zum Wohl der Patient:innen (u.a. Vereinfachung und Präzisierung der Zugänge, deutliche Verringerung des Risikos für Patient:innen). Enge Zusammenarbeit besteht naturgemäß dadurch besonders mit der Arbeitsgruppe „Periphere Nerven / Chirurgische Anatomie /ATCI“ am eigenen Institut.
Darüber hinaus kooperiert unsere AG intensiv und erfolgreich mit der Firma MedEl im Rahmen multizentrischer klinischer Studien, insbesondere auf dem Gebiet der Stimulation kleinster Nerven und funktionell zugehöriger Muskeln (Zervikale Dystonien, Stimm- und Sprachstörungen, Obstruktive Schlafapnoe). Ein weiterer Forschungsschwerpunkt gilt dem Mittel- und Innenohr, hier werden wiederum CT und Micro-CT bildgebend eingesetzt.
Aus unserer Grundlagenarbeit zur Anwendung des Ultraschalls (US) in der Schmerztherapie: Optimierte Darstellung zur sicheren Blockade des N. occipitalis major bei Occipitalis-Neuralgie. Heute wird der Nerv im klinischen Alltag weltweit nur noch an dieser Stelle US-gezielt blockiert!
US-Darstellung und experimentelle Blockade (Pfeilköpfe: Nadel) des N. cutaneus femoris lateralis an einer Körperspenderin. Mittlerweile gängige Anwendung in der Regionalanästhesie und Schmerztherapie
Der hell erscheinende N. cutaneus femoris lateralis (Pfeil) wird am Oberschenkel in seinem „fettgefüllten Flachtunnel“ (im US dunkel!) am leichtesten aufgefunden: “POV“ (Point of Optimal Visibility) nach Prof. Moriggl.
Beispiel detaillierte Sono-Anatomie und Topographie am Lebenden.
Weltweit erste US-Darstellung des Ganglion stellatum (grüner Pfeil) in unmittelbarer Nachbarschaft zur A. vertebralis (VA).
Beispiel der Detektion klinisch relevanter Varianten mit Hilfe des US am Lebenden.
US-Darstellung eines N. phrenicus accessorius (Pfeilkopf) aus C5 auf dem M. scalenus anterior (ASM), ein Gefäß (Farbe) unterkreuzend. Pfeil: N. phrenicus aus C4.
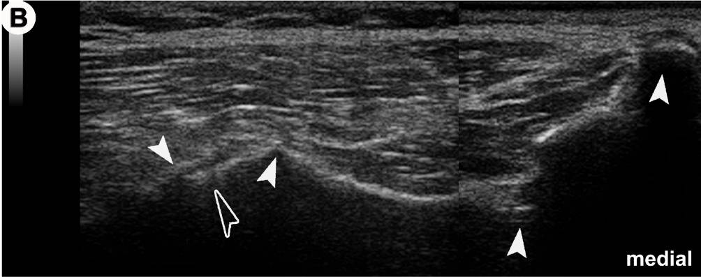
Anatomischer Transversalschnitt (A) und korrespondierendes US-Bild (B) auf Ebene des Foramen sacrale posterius secundum (II): Grundlage für die US-gezielte Injektion des Iliosakralgelenkes (ISG).
In der US-Darstellung ist der dorsalste Anteil des ISG einsehbar (offener Pfeilkopf). Der Spalt entspricht dem radiologischen Gelenkspalt! Die knöchernen Landmarken (gefüllte Pfeilköpfe) sind aber in allen Details deutlich zu erkennen (von medial nach lateral): Crista sacralis mediana, II, Crista sacralis lateralis, Facies glutea ossis ilii.





